A 63-year-old male presented to the clinic with persistent neck and shoulder pain, stiffness, and a significant reduction in his range of motion. He also reported intermittent tingling and pain in his right arm. A thorough chiropractic assessment, including X-ray imaging, revealed a loss of the normal cervical curvature with associated degeneration in the lower cervical spine. These structural changes were contributing to his symptoms and limiting his ability to engage in daily activities, including his passion for gardening and outdoor work.

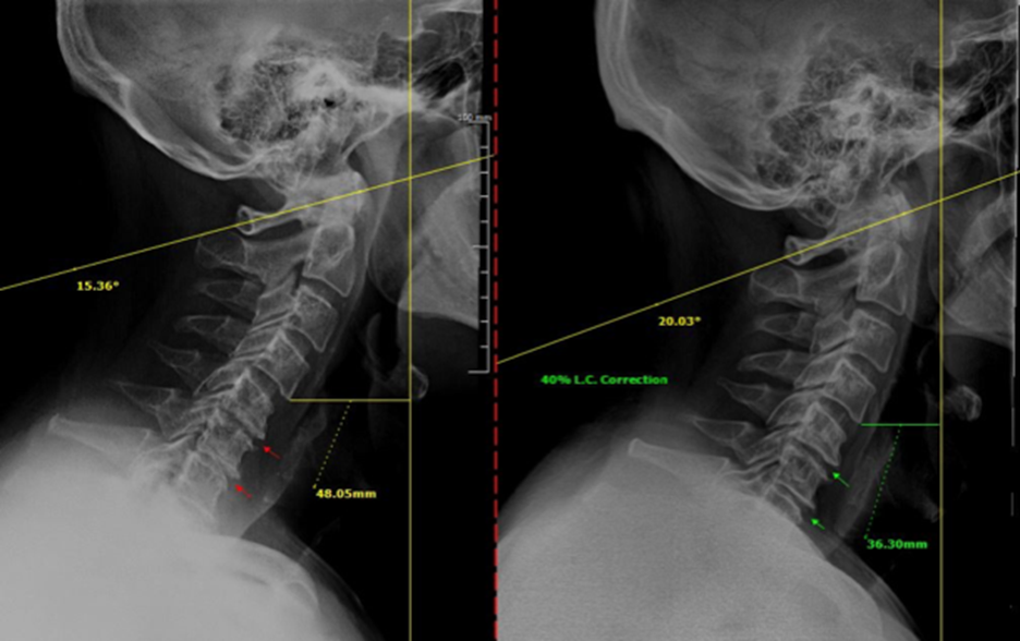
A treatment plan was implemented, consisting of chiropractic adjustments and supportive therapies at a frequency of twice per week over four months. Reevaluation X-rays demonstrated a 40% correction in his cervical curve, along with increased disc spacing between two vertebral levels, indicating improved spinal alignment and function. Clinically, the patient experienced significant symptomatic relief, including reduced pain and tingling, as well as improved range of motion in his neck and shoulders. These changes allowed him to regain comfort and confidence in his daily activities.

Following this phase of care, the patient transitioned to a maintenance schedule of monthly visits to support his spinal health and prevent regression. He continues to experience minimal discomfort and maintains an active lifestyle without limitations. He has successfully returned to gardening and other outdoor activities, reporting that he feels stronger and more mobile than he has in years. His case highlights the benefits of consistent chiropractic care in managing age-related spinal degeneration and restoring functional movement.

Tracking Progress through X-Ray Changes

Patient X-Ray Progression

The x-ray changes above show the old x-ray on the left from January 2016 and the updated x-ray on the right from March of 2017. The left x-ray has the degeneration highlighted with red arrows between bones and the left has the improvement highlighted in those same areas with green arrows. There is also a measurement change in the front of the spine showing the 40% correction in spinal curvature of the neck.

Find out if Specific Chiropractic Care Is Right For Your Family
Schedule A New Patient Evaluation Today
We are Happy to Help You Get Healthy and Stay Healthy!

Subscribe To Our Newsletter

Subscribe To Our Newsletter

Join our Monthly eNewsletter for Fresh Recipes, Health News, Fitness Tips, and Upcoming Events.

Thank You for Joining Us!

Pin It on Pinterest